A osteomielite por ser uma infecção óssea, o diagnóstico conclusivo é realizado através da coleta de tecido ósseo profundo. Esse tecido é enviado para realização de dois exames: anatomia patológica e culturas. Assim, quando positivos para infecção, podemos confirmar o diagnóstico como osteomielite.
No entanto, exames de imagem ajudam a nos mostrar sinais sugestivos para o diagnóstico da osteomielite.
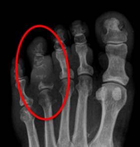
Radiografias
Radiografia é um exame que avalia a conformidade óssea. Sabemos que para vermos uma alteração real no RX é necessária uma destruição óssea de aproximadamente 30% do osso. Assim, como a velocidade de destruição óssea das bactérias usualmente são lentas, a osteomielite aguda não é possível de ser identificada em radiografias, pois nesta fase ainda não há destruição óssea, apenas inflamação. Portanto, as radiografias conseguem dar o diagnóstico apenas da osteomielite crônica,

Tomografia Computadorizada
A Tomografia é um super raio X. Assim é possível observar algumas alterações comumente presentes da osteomielite como coleções de pus, ar e sequestro ósseo com maior definição em relação ao RX. No entanto ainda enxergamos apenas a destruição óssea provocada pela osteomielite. Portanto julgamos seus achados observados apenas na osteomielite crônica.

Ressonância magnética
Excelente exame para avaliar os tecidos ao redor do osso, além do aspecto ósseo, tais como inflamação. Portanto, a ressonância é o melhor exame para investigar osteomielite, principalmente nos seus estágios iniciais. Em outras palavras, a ressonância nos mostra mais do que destruição óssea, nos mostra onde há inflamação, ou seja, sinais de osteomielite aguda.

Cintilografia óssea
Este exame é pouco utilizado, possuindo benefícios em casos onde há dúvida sobre osteomielite em pacientes possuem alguma contraindicação de realizar ressonância magnética. Portanto é utilizados em pacientes com marca-passo, implantes metálicos na cabeça, entre outras indicações.

Fale Conosco
Vila Nova Concieção – Ao lado do Hospital Vila Nova Star

