A Artropatia de Charcot é uma doença dos ossos e articulações principalmente dos pés e tornozelos. Trata-se de uma doença que gera fraturas e luxações em pacientes com neuropatia dos pés.
Essas fraturas se não diagnosticadas rapidamente e tratadas corretamente, geram deformidades nos pés e tornozelos. A deformidade mais comum da Artropatia de Charcot chama-se pé em mata-borrão.

Imagens clínicas e de radiografias demonstrando um paciente com Artropatia de Charcot. Fonte: DOI: 10.1186/s13244-019-0768-9

Essas deformidades fazem com que o paciente tenha dificuldade de encontrar calçados e também são responsáveis por gerarem úlceras na planta dos pés. Essas úlceras são resultantes de pontos de hiperpressão na planta dos pés gerados pela deformidade do pé.
Seus sintomas iniciais são o inchaço, vermelhidão e aumento de temperatura do pé e após o surgimento dos sintomas os pés começam a se deformar. Com a deformidade surgem feridas. Essas, quando complicadas com infecção profunda, podem determinar a necessidade de amputações parciais ou totais do pé.

História da doença
A Artropatia de Charcot foi descrita em 1868, por um médico neurologista chamado Jean Martin Charcot. A descrição não foi realizada em paciente com diabetes, e sim em um paciente com a doença sífilis na fase terciária, conhecida como fase neurológica.
No entanto, apenas em 1936 William Riely Jordan descreveu a primeira ligação entre a artropatia de Charcot e a neuropatia diabética.
O que é Artropatia de Charcot?
Também conhecida como Pé de Charcot, a Artropatia de Charcot é uma complicação comumente causada pelo diabetes. Ela resulta em uma deformidade nos ossos e articulações.
Esta deformidade associada à perda de sensibilidade protetora predispõe a formação de úlceras plantares, que podem evoluir para complicações importantes devido ao lento processo de cicatrização.
Imagine não ser capaz de sentir uma fratura no pé e continuar caminhando como se nada tivesse acontecido. Com o tempo, essas fraturas ou luxações podem causar uma série de problemas graves, incluindo mudanças na estrutura do pé.
Esta deformidade gerada nos pés e tornozelos geram pontos de hiperpressão nos pés. Esses pontos geram calosidades. Como os pacientes com neuropatia diabética não possuem sensibilidade dolorosa nos pés, essas calosidades transformam-se em úlceras.
Essas úlceras devido a sua natureza, são difíceis de cicatrizar. Além disso, quando infectadas, são as principais causadoras da necessidade de amputação dos pés na artropatia de Charcot. Esse é o cenário que caracteriza a Artropatia de Charcot.

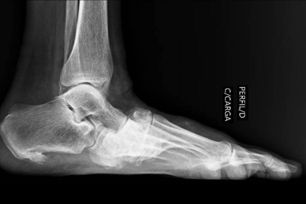
Exemplo de artropatia de Charcot – Fraturas diversas em processo de consolidação nos óssos do médio-pé.
Epidemiologia
Como já mencionamos, a Artropatia de Charcot não é uma doença excluisva de pacientes com diabetes. No entanto, como neuropatia mais comum atualmente é a neuropatia diabética, a Artropatia de Charcot é comumente uma doença observada em pacientes com diagnóstico de diabetes.
Diversos estudos têm publicado a prevalência da Artropatia de Charcot em pacientes com diabetes. Dentre esses estudos, todos demonstram uma prevalência menor do que 1% dentre os pacientes com diagnóstico de diabetes mellitus.
No entanto, quando observamos a prevalência da Artropatia de Charcot apenas nos pacientes com diabetes que já possuem a neuropatia diabética instalada, a prevalência pode subir para 16%.
Quando comparamos a incidência da Artropatia de Charcot com outras doenças em pacientes com diabetes, observamos que a sua incidência é mais comum do que câncer de próstata, de pulmão e rim.
Por outro lado, esses dados da literatura podem ser ainda piores, visto que estudos mostram que pelo menos 50% dos casos de Artropatia de Charcot possuem um atraso de 87 dias de diagnóstico e que até 62% dos médicos não especialistas em pé e tornozelo desconhecem sobre a doença.
Causas da Artropatia de Charcot
Ainda não temos total clareza sobre o fator inicial da Artropatia de Charcot. No entanto, sabemos que essa condição provoca reabsorção óssea em determinadas regiões do pé, o que gera fraturas ósseas graves.
Em pessoas sem diabetes, uma pequena fissura no pé gera muita dor, impedindo que o paciente coloque o pé no chão. No entanto, em pacientes com diabetes e neuropatia diabética, devido à falta de sensibilidade nos pés, eles geralmente sentem apenas um desconforto, acompanhado de vermelhidão e inchaço. Assim, muitas vezes, a única queixa é a incapacidade de calçar sapatos devido ao inchaço.
A doença ocorre em pacientes com neuropatia periférica (perda de sensibilidade), que pode ser resultado de diversas condições, incluindo diabetes mellitus, hanseníase, sífilis, poliomielite, alcoolismo crônico ou siringomielia. Ou seja, não se manifesta apenas em diabéticos. No entanto, cerca de 90% dos casos ocorrem em pessoas com diabetes.
Qual a diferença entre Artrose e Artropatia de Charcot?
Compreender a diferença entre a Artrose e a Artropatia de Charcot é importante para poder entender melhor estas duas condições e como elas afetam o nosso corpo.
Artrose
A artrose é uma doença que afeta as articulações. Ela ocorre quando a cartilagem que reveste as articulações dos ossos se desgasta e pode levar à dor, rigidez e diminuição da mobilidade.
É uma condição bastante comum e geralmente se desenvolve gradualmente ao longo de muitos anos. Embora a artrose possa afetar qualquer articulação do corpo, é mais frequentemente encontrada nos joelhos, mãos, quadris e coluna vertebral.

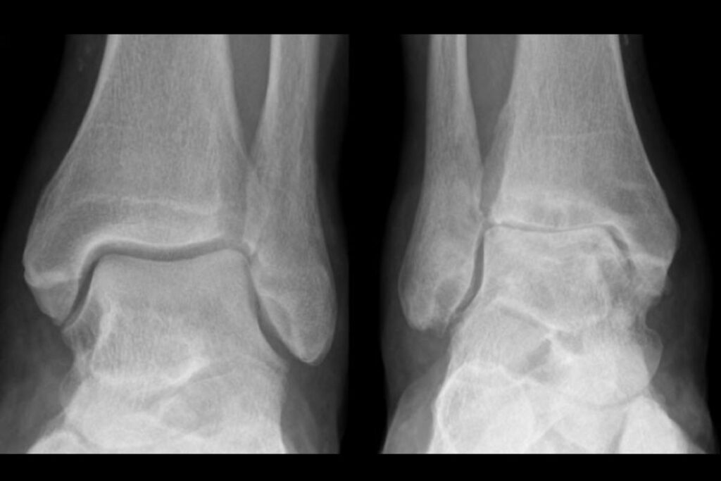
Exemplo de um tornozelo normal e um tornozelo com artrose.
Artropatia de Charcot
A Artropatia de Charcot, por outro lado, é uma doença que gera fraturas e luxações nos pés e tornozelos. Devido a doença acontecer em pessoas com neuropatia periférica, ou seja, uma doença que leva à perda de sensibilidade da planta dos pés, o paciente não sente a dor referente as fraturas que deveria sentir e continua pisando com o pé fraturado.
Os ossos fraturas vão se desviando mais ainda, fazendo com que o pé mude seu formato. Normalmente o formato mais característico chama-se em mata-borrão.
Quais os estágios da Artropatia de Charcot?
A Artropatia de Charcot é autolimitada, ou seja, ela possui fases já pré estabelecidas. Este dado colabora no tratamento, pois quando feito diagnóstico precoce e realizado o tratamento correto, podemos evoluir com ausência ou mínima deformidade nos pés.
A classificação dos estágios da doença são:
- Inflamatória: esta fase é a inicial, o paciente nota que o pé está inchado, vermelho e quente. Muitas vezes a queixa do paciente é a incapacidade de colocar o calçado e até mesmo um leve incômodo. Nesta fase as radiografias não mostram alterações ainda das fraturas desviadas. Desta forma, raramente se faz o diagnóstico da doença nesta fase. Apenas a ressonância magnética pode dar indícios que se trata de uma Artropatia de Charcot.
- Fragmentação: este é o estágio mais agudo da doença, caracterizado por inchaço, vermelhidão e aumento da temperatura do pé. Nesse estágio, ao realizarmos radiografias dos pés, podemos observar diversas fraturas com características recentes. Como se um carro tivesse passado sobre o pé do paciente e ele não soubesse.
- Coalescência: nesse estágio, o inchaço e a vermelhidão podem começar a diminuir pois é a fase que as fraturas começam a se consolidar (cicatrizar). No entanto, a deformidade pode continuar a progredir, pois o osso ainda não está totalmente consolidado.
Sequelar ou consolidação: este é o estágio final da Artropatia de Charcot, no qual o inchaço e a vermelhidão geralmente se resolvem e as fraturas estão consolidadas. A deformidade geralmente é permanente nesse estágio, mas a dor e a inflamação tendem a ser menores. No entanto, a deformidade do pé pode levar a um aumento da pressão em certas áreas na região plantar dos pés. Essas áreas, se não corretamente tratadas, podem gerar úlceras de difícil tratamento.
Quais articulações mais acometidas da Artropatia de Charcot?
A Classificação anatômica mais utilizada para a Artropatia de Charcot foi desenvolvida por Brodsky. Confira:
Classificação de Brodsky | ||
Tipo 1 | Acomete articulações tarsometatarsais e naviculocuneiforme | 60% |
Tipo 2 | Acomete articulações subtalar, talonavicular e calcaneocuboídea | 10% |
Tipo3A | Acomete o tornozelo | 20% |
Tipo3B | Acomete a tuberosidade posterior do calcâneo | <10% |
Tipo 4 | Acomete diversas articulações | <10% |
Tipo 5 | Acomete apenas o antepé | <10% |

Diagnóstico da Artropatia de Charcot
O diagnóstico da Artropatia de Charcot é geralmente feito por meio de uma combinação de exame físico e de exame de imagem. Durante o exame físico, o médico pode notar sinais como inchaço, vermelhidão e aumento de temperatura na área afetada. Esses sintomas, juntamente com a história médica do paciente (como a presença de neuropatia periférica), podem levar à suspeita da doença.
Os exames de imagem, como radiografias, tomografia computadorizada ou ressonância magnética, são usados para confirmar o diagnóstico e avaliar a extensão da condição. Estes podem mostrar alterações ósseas e articulares características da condição.
A ressonância magnética é o exame de imagem que pode mostrar as alterações mais precoces da Artropatia de Charcot, ou seja, fazer o diagnóstico na fase inflamatória (primeira fase da doença).
Tratamento da Artropatia de Charcot
Afinal, a Artropatia de Charcot tem cura? O tratamento da Artropatia de Charcot tem como objetivo principal prevenir a progressão da doença, ou seja, proteger o pé para que as fraturas não progridam e para que a Artropatia de Charcot não gere deformidades nos pés e tornozelos.
A presença de deformidades nos pés são as principais responsáveis pelas feridas plantares difíceis de cicatrizar. Desta maneira o tratamento baseia-se em:
- Imobilização e retirada da carga no pé: na fase inicial, o tratamento envolve frequentemente a imobilização do pé afetado e a retirada da carga para permitir a cicatrização dos ossos. Isso pode ser feito através do uso de um gesso, uma bota de imobilização ou outro dispositivo ortopédico.

- Calçados e órteses personalizados: esses dispositivos podem ser usados para proteger o pé, reduzir a pressão nas áreas afetadas e prevenir ulcerações.

Exemplo de sapato para pé de Charcot com palmilha personalizada. Órtese de Crow para algumas deformidades.
- Cirurgia: em alguns casos, a cirurgia pode ser necessária para corrigir deformidades, tratar complicações ou estabilizar o pé.

Qual médico trata Artropatia de Charcot?
A Artropatia de Charcot, quando afeta os pés, é tratada por um ortopedista especializado em pé e tornozelo. Este especialista possui conhecimento específico na avaliação, diagnóstico e tratamento de uma variedade de condições que afetam os pés e tornozelos, incluindo a Artropatia de Charcot.
Além disso, se a condição estiver associada à diabetes ou a outras enfermidades que provocam neuropatia, o paciente pode também necessitar de cuidados regulares de outros especialistas, como endocrinologistas e neurologistas. Fisioterapeutas e profissionais de terapia ocupacional também podem ser necessários no tratamento.
Dr. Eduardo Araujo Pires: ortopedista especialista em cirurgia do pé e tornozelo
Possuindo formação em ortopedia pela Santa Casa de São Paulo e especialização em cirurgia do pé e tornozelo pela Universidade de São Paulo (USP), tenho dedicado minha carreira ao tratamento de complicações comuns causadas pelo diabetes.
Se você está em busca de um ortopedista qualificado para o tratamento da Artropatia de Charcot, pode contar comigo! Você receberá informações detalhadas sobre os cuidados necessários, bem como as melhores opções de tratamento disponíveis para a sua condição específica.
Fale Conosco
Vila Nova Concieção – Ao lado do Hospital Vila Nova Star
